El paciente acude a Cliredent tras fracturarse una corona que llevaba en el diente central superior hacía muchos años. Tras una exhaustiva revisión tanto visual como radiográfica vemos que el diente no tiene ningún pronóstico y necesitamos sustituirlo.
Tras explicar las posibilidades al paciente, nos decidimos por la colocación de un implante dental en sustitución del diente fracturado. Es la mejor opción actualmente porque nos permite un buen pronóstico a largo plazo, siempre y cuando tengamos un mantenimiento correcto y se realicen las revisiones programadas. El implante además nos evita tener que preparar dientes adyacentes para colocar un puente, comprometiendo así su pronóstico a largo plazo.
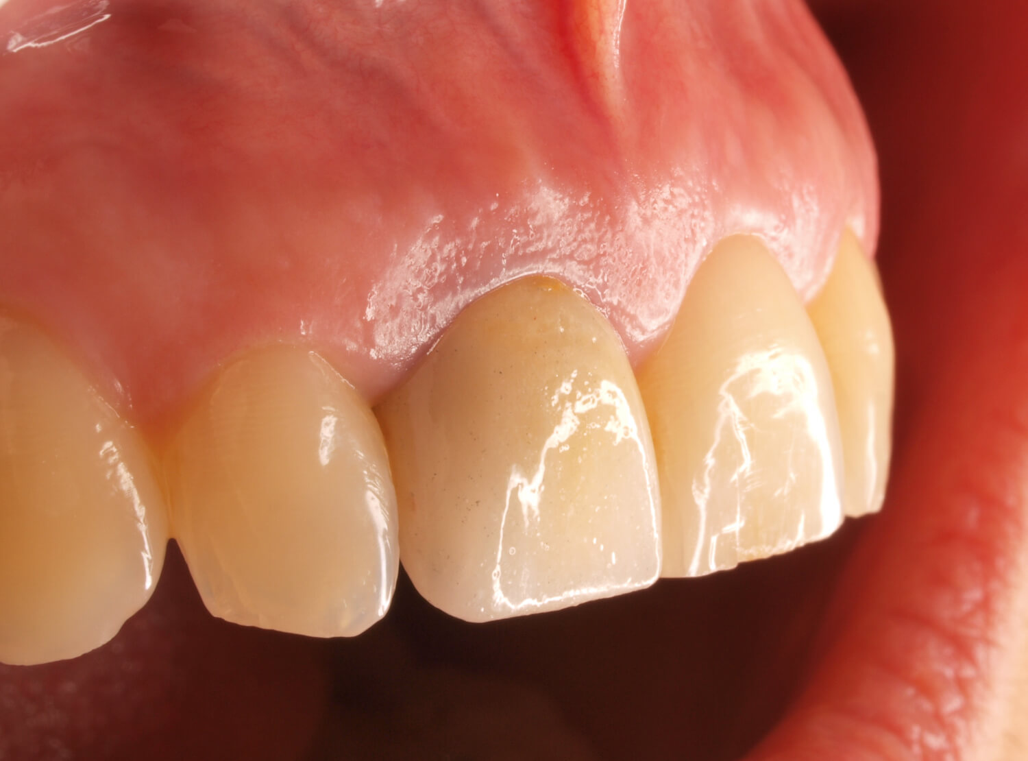
Tras la colocación del implante, se esperó para la cicatrización del mismo (lo cual suelen ser unos tres meses aproximadamente) y posteriormente se preparó para la colocación de la corona sobre implantes.
